Translucent Trans-Corporeality

A conversation between Aram Lee and Lotte Arndt on Lee’s experimental film X-Hale

Aram Lee and Lotte Arndt

Lotte Arndt : Aram, our conversation started in 2023 when you were a guest resident at the Rijksakademie in Amsterdam, researching as part of the Pressing Matter Program on Ownership, Value and the Question of Colonial Heritage in Museums on toxicity, microbes, and the irrepressible porosity of the museum. You traced humidity that had come through the museum’s walls and found living organisms in the water droplets. You used this to develop a performance entitled Holding Poison shown in summer 2023 at the Wereldmuseum Amsterdam, formerly known as Tropenmuseum and a film: When, Objects, Turn (9 min, 2 sec, 2023). In a further step, your essay After Objects has been published in the Errant Journal. I was very interested in the way you think through colonial collections and museum conservation to reflect on biopolitical and infrastructural control mechanisms over colonized and migrant bodies, while you are constantly proposing speculative protocols to circumvent or undermine these technologies.

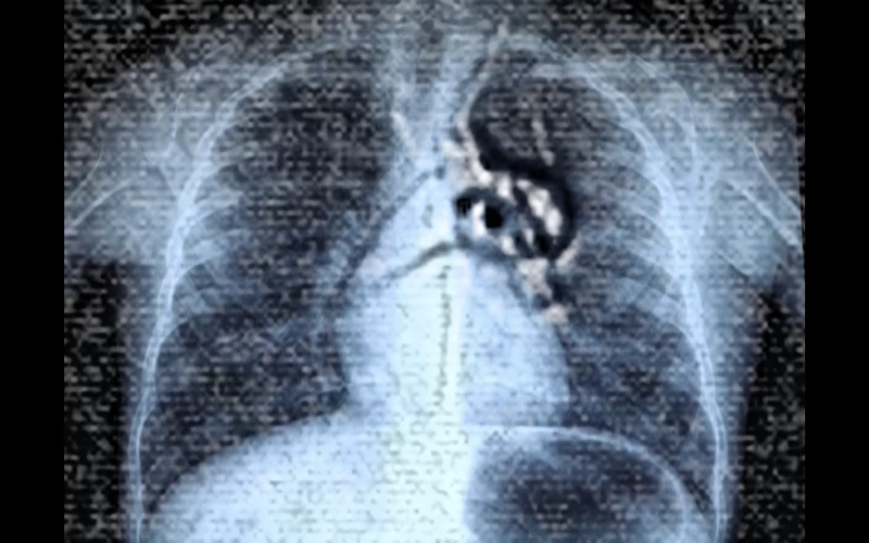
For our issue on The Edges of Conservation, you propose a film with the polysemous title X-hale: It shows an X-ray image of a body that seems to be inhabited by moving organisms, while an intermittent Indonesian voiceover is heard and fragments of a poem in several languages flicker across the screen. What do we see?

Aram Lee : The work started from an exchange I had with a Chinese Indonesian colleague and friend, Francisca Angela, also a resident at Rijksakademie. Both of us had to undergo a medical exam to diagnose tuberculosis when we arrived in the Netherlands. The exam involves medical imagery: You hold a metal plate to your chest and then hold your breath while an X-ray image is made of the lungs. In my work, I combined the medical image of my own body with the images that I had made under the microscope in collaboration with the immunologist Juan J. Garcia Vallej of the Microbes Laboratory at Amsterdam UMC: we analyzed a water droplet from the basement of the Wereldmuseum Amsterdam that had dripped through the museum’s thick foundations. The test revealed 95 living cultures within that droplet. In spite of all the museum’s efforts to seal its walls and shield their collections from the outside world, thousands of living organisms still managed to infiltrate through the walls in microscopic quantities of water. I was interested in the porosity that became apparent in this process. The museum’s goal of creating a conservation space that could effectively separate inside and outside had failed.

LA : In your film, you overlay footage of the living organisms with the X-ray images of your chest – visually, they inhabit your body, as your lungs are circumspectly examined.

AL : The filmic collage combines my personal, lived corporeal experience, which became an object of medical examination, with the microscopic images of the microbes in the water droplets at the museum. It considers the body as a geopolitical locus, as a territory under surveillance to distinguish registered, authorized, and legalized bodies from those considered a danger, or as stowaways, illegal entities, bodies crossing borders without permission.

Both my friend and I had to undergo this mandatory examination, because, when I arrived in 2011, Korea was still one of the countries considered “at risk” from tuberculosis. Indonesia is still on the list, but Korea has been removed. Prior to the exam, people of all origins, wait in a room. One begins to perceive oneself and others as bodies whose status is under scrutiny,  present only to establish if they can be labeled healthy and stay, or not. During the exam, you have to stand with a metal plate against your body, and you are asked to breathe in deeply. Then, you have to hold your breath until you have permission to breathe. I experienced the moment as a suspension of my right to breathe, a suspension that would last the time it took them to decide whether the air that I had brought from Korea was threatening to the Netherlands, or not.

LA : X-ray has repeatedly been used in feminist experimental filmmaking, often to refer to the vulnerability of the body, and its “over-exposure” by technology and patriarchy1. In addition to the fragility of the body as displayed in the x-ray images, in your film you bring the images of the moving microbes to your body. Thereby, you operate a shift, whereby your body and the transparent and “overexposed” medical images of your lungs scrutinized with suspicion by a public health service enacting geographical, bodily controls while attributing degrees of potential danger to them, now becomes the support that allows the microbes to move freely. As if confirming the suspicion of the public health authorities, you visually contaminate your body, inscribing living cultures within it that transgress walls without permission. When watching the film, there is an uncertainty whether these are images of disease gaining space in the human body, or whether they are beneficial parts of the body’s vital processes?

AL : I let the images of the microbes perform in my body, which created a very intimate contact with them. It allowed me to relate to them bodily, to hold them visually in my body, not only to look at them through a microscope from a distance. The idea is that one body is connected to another body, and then to others beyond. Hence I aim to go beyond the binary conception of human and non-human. This transmission between bodies reveals that bodies are related and interdependent, and are falsely conceived as isolated. These layered images of my body and the microbes’ body can invert misconceptions and summon the ghosts of stigmatized kinfolk. It is a translation of (un)captured bodies, (non)institutional bodies.

In the filmic collage, external and internal are no longer separated. Accepting the existence of living organisms in yourself appears as the very condition of life. Inside and outside are constantly articulated by inhalation and exhalation, in a relationship whereby the body is renewed within the context of what surrounds it – there is no clear distinction between what is “me” and not me. The binary opposition of human and non-human has caused manifold environmental problems. Similarly, dominant structural paradigms such as  the idea of a global South and global North polarize the world along colonial and economic lines, and oppose what is fundamentally connected. Here I think specifically of the scientific classification and hierarchisation of living worlds via conservation practices. In my project ‘Holding Poison’ I discovered how until the 1960s and even later, the biocide DDT was used in many ethno-colonial museums across Europe to kill any living organism cohabiting with the institutions’ collections. In order to stabilize the displaced materials, the conservation departments weaponised them by rendering them toxic to touch. If ever repatriated, they will carry the white crystalised poisons of toxic modernity. The material life of these perishable objects, made of organic materials, coincided with their removal from the cultural environments of which they were a part. The artifacts in the museum collection are exiled from their homeland and the colonial museum introduces toxicity into their bodies. Exile here stands for collaborations, connections, sediments, and flows. They are interrupted and their lives were – potentially eternally – put to sleep through their poisoning.

LA : With X-hale you chose a polysemic title. The “X” can be read as a reference to what is unknown, in flow, rendered visible but not fully graspable… In French, “born under X” means that your parents are not known, that there is no traceable biological genealogy.

AL : I was intrigued by the resonance between the words “exhale” and “exile”. During the examination, you are asked to hold your breath until the process is complete, then you can exhale and they let you go. While the image is being taken, the flow of breath necessary for any living organism is suspended until the medical staff declares your body free of danger. The examination itself is an experience in the fragility of a body in exile, its vulnerability, subjected to suspicion and investigation. I wanted to work on the stressful and frightening experience of breath suspension. To enhance this experience, in the first part of the video, the soundtrack is solely the sound of breathing in, breathing in, breathing in, breathing in – the breath never flows in the opposite direction. Only at the end of the video is there a change in the direction of breath, and you hear lungs breathing out.

Aram Lee: X-Hale, 2024. Film Still.

LA : Before I read the title, I misheard it as “excel” and found this additional dimension telling, because it relates the museum object and the medical scrutiny of the (migrating) body to data, classification, and control. In opposition to quantifying approaches, you relate to the objects in the museum by attributing subjectivities to them, while striving to be in connection in several ways, of which inscribing them in your body is one. In your essay After Objects, you stage a dialogue between the objects stored at the Wereldmuseum Amsterdam that converse about their condition in the museum collection. One of them, inventory number RV- 3981-33 speaks about preventive conservation measures and climate control:

“To avoid decay, as you see here, I am wearing the time grid indexed within the floor plan. My climate is controlled and sanitized while all four seasons pass by outside. But the problem is that, while the building fears decay, it perpetuates an immemorial power, projecting a totally different ideological vision onto my body. It privatizes the heterogeneous landscapes of archived things and removes all the vibrant scenes and living things inside of me. Controlling the climate of Others means controlling the time and life of Others.”2

Could you comment on this idea to control the life of others through the climate of the space they are kept in?

AL : At the museum, objects are isolated from the cultural context in which they were inscribed prior to collection. I was researching the plumbing system at the Wereldmuseum Amsterdam – which is like the museum’s respiratory system, where water is constantly regulated. It is the foundation for creating an artificial climate within the museum.

Thinking about how the museum breathes, I visited its basement and from its damp walls I collected water. In this liminal zone, somehow at the borders of the museum’s, I found ninety-five living cultures, unregistered in the museum’s inventories. This led me to conceptualize the plumbing and climate systems as a respiratory system in contrast to the reality of the museum’s sealed ecological climate cycle. Millions of objects coexist within the collections that make up institutions. The institutional climate is hegemonic. It is an artificial climate that sustains the past: This is where museums’ activity is most intense: they replace a specific context with an artificial climate.

I’m not only talking about  the institutional climate, but also about the global climate:  Both are structured by labor exploitation and racialised class struggles. You cannot think about a specific environment without becoming aware of who has rights and who does not, which bodies can circulate freely and which bodies are controlled. I looked at one European ethnographic museum’s institutional climate as a prototype of global climate. Where should these global southern objects be relocated/returned to?

World-wide exportation of the Western-museum model has taken museum technologies to many places around the world. As well as the creation of artificial climate control of humidity and temperature, one museum in the South now also applies conservation technology, and probably uses toxic chemicals on objects for purposes of pest control. If we think about cultural processes as dynamic interactions between people, things, environments, and spiritualities, what approaches are actually able to accommodate these?

Here I imagine the museum’s respiratory system. Plumbing is essential for the building to sustain its cooling and heating system, enabling the establishment of a hegemonic climate within a museum. It refreshes the contemporary audience, cleansing the space to create a vacuum around objects. However, piping is also a potential hidden respiratory system connecting the microcavity of the glass box inside the museum to the exterior ecology.

The pipes enable the passage of air and water, which sustain the institution’s hegemony. But we can also see them as the bellows to the museum’s vocal chords , allowing the museum to speak. The water contains the bodies and species of territories. It is manifold, it carries millions of beings, it deconstructs the categories. It leaks and flows bodies and knowledge. We see multi-species-interdependence. In this kind of entanglement, fluid exchange allows all agencies to participate in the museum. 

LA : Materialist feminism points to the constitutive imbrication of bodies and environments, contradicting strongly the modern isolation of the body or even its parts from the place of its dwelling. The cultural theorist Stacy Alaimo underlines this imbrication with her notion of trans-corporeality, the fact that “the human body is never a rigidly enclosed, protected entity, but is vulnerable to the substances and flows of its environments, which may include industrial environments and their socio/economic forces.”3 She shows that X-ray has served as both a technology of control for dominant classes, and  leverage for environmental justice claims for workers in precarious conditions, notably when demonstrating that diseases are not extrinsic but caused by the conditions of working in mines or with toxic substances. In the use you make of the X-ray image of your own chest, you turn imagery produced within a hygienist perspective with a biopolitical goal into a locus for radical relational co-constitution with others, at your and their existential risk.

AL : If there is life in these congealed hegemonic regimes, can it possibly leak, and if so, what could be considered as a leak? While researching the relationality of colonial objects, one  concept stuck with me: “transcendental homelessness”, a concept that results from the existential collision of the apparent opposition between a reality divided into external and internal. Like the state of knowing, there is a destination that has no path.

LA : While the voice-over in the video, the voice of your friend Francisca Angela, speaks in fragments of the poem you co-wrote together, the text fragments that appear in the image are written in three languages, Indonesian, Korean and English. The sound pieces and written words become part of the film, and introduce doubt as to what is said and what is understood, which resonates with the intimate experience of those who belong and those suspected of not belonging. Fragments of text in several languages co-exist, some a translation of each other, some autonomous fragments of a poetic text engaging with a frightening situation. The way you use language also deals with foreignness, belonging, opacity, community, and the porosity of these.

AL :

If I could live in my own body instead of living in other people’s memories,

If I can talk about,

The tradition of foreign objects’ silence

Calling there. No sentence is ever finished.

It is about the archive and melancholy, because

No one called there, so nothing happened there, or to us.

The text does not describe the scene, but neither is it completely abstract. It is performative rather: let them play and move on my body; to recount my life, my story can only be jumbled to create a new map, it must include  zones that have not yet been recorded. Displaced objects and the search for porosity are the core of my practice: how to admit my body or our bodies as interconnecting boundaries. If we find tiny holes then what might leak from them, and how can we travel from there to speak with our own languages that are not yet constructed. The tiny holes might be the spot where the uprooted bodies are dwelling, or where the dominant history is withheld. The stories of bodies have a lot of invisible pores. Within these porous bodies is there a possible passage to connect the past and other futures that are not pre-formed? Could this action become a challenge to the continuity of historical power?

LA : You already spoke about the one-way movement of breathing-in over the first part of the film. There are other soundscapes. What is in them?

AL : The film brings together three sounds. The sound of breathing – breathing-in during the whole first part, then breathing-out at the end; the voice of my friend speaking; and the sound of the outside world as heard by a baby in the womb. The latter has a water-like quality, and alludes to a situation where one being lives inside another, fully dependent on another while not being identical with it. The being is seemingly exclusively held inside, while the sound recording shows how this experience is very much connected to the outside. The medium that links inside and outside is, once again, water, liquid, and just as in my research on microbes, technology is needed to capture the sound.

But the issue is also about care: from these porous zones can we conceive the interdependence of bodies with their environment in a different way than through measurements, data, and conservation? How might we approach them via the senses, bringing in the bodily experiences of dwelling in spaces under tension?

Aram Lee: X-Hale. 2024. Film Still.

LA : Part of what I describe as “toxic conservation” is the attempt to exclude processes of decay and transformation from the museum, to suspend time as much as possible, to conceive of preservation as keeping things stable, unchanged, identical to themselves over decades, or even centuries – and to resort for this purpose to measures extending from climate control and closed storage to treatment with chemicals. The reference frame here is the nation state and the national museum, which extend beyond the life cycle of an individual, and allow a huge accumulation of matter, objects, and cultural values that integrate a protected pool of national heritage.

Your work looks at the instabilities of what is meant to be kept unchanged. In your performative work at Wereldmuseum Amsterdam, you blew the images of the microbes up to several million times their size, 3-D printed them in clay, and equipped them with a motor so that they could move throughout the hall of the museum, accompanied by performers. The figures of ninety-five microbes found in the infiltrated water were then rendered in 3D and their studied, captured, and portrayed motions were scaled up and made perceptible to humans. By embodying their intelligence and moving around the space, they performed in the museum. This machine-powered, microbial sensorium  appears, together with models of the poisoned objects, in the building’s main hall. Each movement is derived from a microbial entity interacting with each other to form a collective forty-minute long choreography, reflecting the complete lifespan of the microorganisms found in the water. Audiences are allowed to move the microbes in the museum and they begin to spread out around the space. Future iterations of the performance will take place in other locations such as staircases and corridors and places that visitors cannot readily access like the collection depot and the director’s room.

What museums try to exclude is here transubstantiated into performing museum objects in their own right, which become the focus of the installation.

In X-hale you push your awareness of the body’s permeability and its interdependence with its environment further, by digitally contaminating the microbes inside your body, at least visually, to create deliberate confusion, with a potential to  to trigger a health scare or reactions of alarm  The former asks the question “Is this body a danger?”; while the latter asks, “Is this body in danger?” – two perspectives with very different ethical and relational implications. Contamination is not a playful activity, but rather a very conscious engagement with the surroundings, people, languages, relationships… Which implies that you too put yourself at risk, you have to rely on others, not exclude these interdependent worlds from your considerations. The very condition of your existence is that you are in a relationship, and you require care and attention.

The film made me think of Barbara Hammer’s experimental short film Sanctus (1990, 16mm, color, sound, 19′ 00), a visual poem based on scientific X-ray images taken in the 1950s by the doctor and experimental filmmaker James Sibley Watson. Hammer colors the medical images and puts them to a soundtrack of church music, in a way that renders these fragile and spectral bodies sacred. The film was released in the years of the AIDS crisis, when thousands of people infected with HIV were dying and socially stigmatized for their illness. Hammer turns the medical character of the images into sanctified beauty, taking them away from factual, emotionless transparency. Instead she celebrates these vulnerable, translucent bodies with care and attention. I think this relates to your work, as sacrality is one dimension that objectivist conceptions of science and museum conservation exclude.

AL : I am interested in the ways in which non-humans are used to maintain or potentially subvert power structures. In Alien Phenomenology4, the philosophical attempt of knowing “what the experience of things is like” is ultimately left in a state of inspiration rather than being clearly defined. Here I consider ethno-colonial objects as post-human. This concept is useful for its parallel with objectified people/cultures. It seeks to open and enter the “other world (in order to cancel the predefined future)” by reaching the metaphysics of objects through inanimate objects/microbe vibrant entities – boundaries become blurred. However, this world of objects cannot be understood with the eyes that recognize the world of subjects. So speculation is inevitable here.

In my imagination, I was thinking of my body as an anti-museum. The sanctuary, where every encounter with the ruined, trashed, and exhaled (as we admit we are all agentive unknown bodies, hyper objects), can mingle, collide and breed into something else, instead of being displayed, or constantly requested to prove our alien body. We can propose to travel together, without arriving anywhere anymore. We can imagine a space for our own re-breeding.


  1. As Maud Jacquin pertinently writes by quoting the poet Sylvia Plath in a text on Sandra Lahire’s experimental films, Maud Jacquin: “Overexposed, like an X-ray”: The Politics of Corporeal Vulnerability in Sandra Lahire’s Experimental Cinema”, in: Living on Air. The Films and Works of Sandra Lahire, 2023, pp. 21 – 29. 

  2. Aram Lee, “After Objects”, In: Irene de Craen (ed): Learning from Ancestors. Epistemic Restitution and Rematriation, Errant Journal, No. 3, 2023, p. 64-77. 

  3. Stacy Alaimo: Bodily Natures. Science, Environment and the Material Self, Indiana University Press, 2010, 28. 

  4. Ian Bogost: Alien Phenomenology, or What It’s Like to Be a Thing, Minneapolis, University of Minnesota Press, 2012.